গ্রাহক কেস 4D জিরকোনিয়া ব্লক
2024-08-29
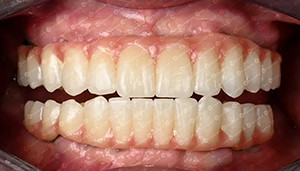
মাস্টার: ইভায়লো ডিমিট্রভ বুলগেরিয়া থেকে
উপকরণঃ ইউসেরা 4 ডি প্রো মাল্টিলেয়ার জিরকোনিয়া ডিস্ক
ছায়াঃ A1
2024-08-29
মাস্টার: ইভায়লো ডিমিট্রভ বুলগেরিয়া থেকে
উপকরণঃ ইউসেরা 4 ডি প্রো মাল্টিলেয়ার জিরকোনিয়া ডিস্ক
ছায়াঃ A1
আপনার জিজ্ঞাসা সরাসরি আমাদের কাছে পাঠান
একটি বার্তা রেখে যান
আমরা শীঘ্রই আপনাকে ফেরত কল করব!
আপনার বার্তার দৈর্ঘ্য ২০-৩০০০ অক্ষরের মধ্যে হতে হবে!
অনুগ্রহপূর্বক আপনার ইমেইল চেক করুন!
অধিক তথ্য ভালো যোগাযোগের সুবিধা দেয়।
সফলভাবে জমা দেওয়া হয়েছে!
আমরা শীঘ্রই আপনাকে ফেরত কল করব!
একটি বার্তা রেখে যান
আমরা শীঘ্রই আপনাকে ফেরত কল করব!
আপনার বার্তার দৈর্ঘ্য ২০-৩০০০ অক্ষরের মধ্যে হতে হবে!
অনুগ্রহপূর্বক আপনার ইমেইল চেক করুন!